| 
 
Viele störende Fehlstellungen sind durch ein Größenmissverhältnis von Kiefer und Zähnen bedingt, wodurch sich die Zähne in der Zahnreihe "verschachteln" oder verdrehen.
 Man denkt ja gerne, dass das eine Frage der Anlage ist. Sind die Zähne einmal in Reih und Glied gewachsen und schön ausgerichtet (oder durch eine kieferorthopädische Behandlung so gerichtet), so erwartet man, dass das so bleibt.
 Meist ist das jedoch nicht so, Zähne können sich im Laufe der Zeit nochmals verschieben.
 Das nennt man dann:
 
 Tertiärer Engstand
 Nach Abschluss der Pubertät bzw. bei Erwachsenen tritt sehr oft ein tertiärer Engstand auf. Hier werden von Experten verschiedene Gründe angeführt.
 
 Mesialdrift der Zähne: Mit den Jahren verändert sich die Mund-, Zungen- und Gesichtsmuskulatur, die Zähne wandern besonders in der Unterkieferfront nach vorne, zur Mitte. Spät durchbrechende Weisheitszähne üben möglicherweise Druck aus, der Ursache dafür sein kann, dass sich die Zähne bei Erwachsenen langsam querstellen oder verdrehen.
 
 Behandlungsbedarf  besteht hier meist aus ästhetischen Gründen.
 
 
 Behandlungsmöglichkeiten
|  
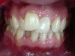
  Vor der Behandlung |  
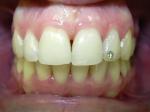
  Nach der Behandlung | 
 Festsitzende KFO entweder in Kombination mit Extraktion oder auch nur "Expansion" = Bogenerweiterung der Zahnreihen (nur bis zu einem bestimmten Grad möglich). Geringfügige Fehlstellungen bei Erwachsenen lassen sich auch gut mit Invisalign (transparente, individuell angefertigte Zahnschienen) und Schmelzreduktion zwischen den Zähnen behandeln.
 
 Das Ergebnis sollte mit abnehmbaren Schienen oder mit geklebten, innen liegendem Draht fixiert werden.
 
 Die gute Nachricht: Wenn sie in den Spiegel schauen und feststellen, dass ihre Zähne nicht mehr so schön gerade wie "früher" sind, dann ist es nicht zu spät - lassen sie sich über die Möglichkeiten durch einen kieferorthopädisch ausgebildeten Zahnarzt beraten.
 
 |