Veneers
Kennen sie das berühmte Hollywood-Lächeln? Dahinter steckten schon in den 50er-Jahren feine Keramikschalen auf den Zahnoberflächen von Marylin Monroe und anderen Stars. Die Pracht hielt nie lange. Heute ist die Technik ausgereift.
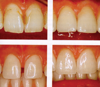
Veneers (Veneer) sind hauchdünne Schalen aus Keramik oder hochwertigem Kunststoff, die speziell für die Frontzähne hergestellt werden. Anwendbar sind sie, wenn die Zahnsubstanz weitgehend erhalten ist, jedoch kleinere Schäden behoben oder ästhetische Veränderungen erfolgen sollen. Mit Veneers kann man Frontzähne neu gestalten.
Wo Veneers (Veneer) anwendbar sind, liegt ihr Vorteil gegenüber Kronen darin, daß die gesunde Zahnsubstanz erhalten bleibt. Von der Zahnoberfläche müssen weniger als 1 mm abgeschliffen werden. Bei Kronen dagegen muß sehr viel von der Zahnsubstanz abgeschliffen werden.
Was die Pflege betrifft, putzt man Veneers wie echte Zähne, von denen sie – sofern gut gemacht – weder optisch noch funktionell zu unterscheiden sind.
Ein Artikel von Dr. Eva Krampf-Farsky.
In meiner Artikelsammlung finden Sie Informationen zu vielen Fragen der Zahnheilkunde.
Alle Informationen aus dem Internet können nur allgemeiner Art sein. Für eine konkrete Diagnose und Behandlungsplanung ist immer der Besuch bei Ihrem Zahnarzt erforderlich.
Ihre Dr.Eva Krampf-Farsky


